Lichen sclerosus לייכן סקלרוסיס

ליצ 'ן sclerosus היא מחלה מגורם לא ידוע, כרונית, פרוגרסיבית שפירה, הגורמת להתנוונות שכבת העור העליונה ולשינויים אנטומיים של אזור העריה ופי הטבעת. שתוצאותיה כתמים לבנים על העור והצטלקות העור על איברים סביב. זה קורה בדרך כלל לנערים ונערות צעירים ו נשים באזור גיל 60. מספר גורמי סיכון אפשריים, כולל מחלות אוטואימוניות, זיהומים ונטייה גנטית. יש גם ראיות כי LS יכול להיות קשור למחלת בלוטת התריס. המצב הנפוץ ביותר קורה על הפות וסביב פי הטבעת עם כרובד לבן שיכול להיות שטוח ונוצץ. ייתכנו גירוד או מצב שעשוי להיות ללא כל סימפטומים כלל. ייתכן גם שיש דילול והצטמצמות של אזור איברי המין שעשויים לגרום לכאב, להשתנה ולהגנה מכאיבה. חשוב לציין כי גם בהעדר תלונות יכולים לחול שינויים אנטומיים


ליצ 'ן Sclerosus מטופל בדרך כלל עם סטרואידים אקטואלי חזק, כמו פרוביונט clobetasol או mometasone furoate. אם נעשה שימוש נכון, תרופות אלה יכולים להקל על הסימפטומים ולמנוע הצטלקות. במקרים של LS preupbertal, ישנן עדויות לכך שחולים יכולים לעבור הפוגה של LS. בחוג של 12 בנות שעקבו במשך 10 שנים עד גיל ההתבגרות, 25% עברו הפוגה מלאה. לרוע המזל, 75% נותרו סימפטומטיים והראו סימנים פיזיים של LS להתבגרות טיפולים אחרים, כולל טיפולים הורמונאליים מקומיים (טסטוסטרון ופרוגסטרון) הוצעו אך לא הוכחו באופן סופי לשיפור הסימפטומים. מחקר קטן אחר הראה טיפול אנטיביוטי לטווח ארוך כדי להיות יעיל בחולים שעברו תגובה ירודה לסטרואידים. מחקרים אחרונים מצביעים על תפקיד של מעכבי calcineurin אקטואלי כגון tacrolimus. זה לא נחשב מועיל להסיר עור מושפע LS שאינו ממוקם על איברי המין, כפי שהוא נוטה גם להישנות. חולים רבים מדווחים כי הזרקה של PRP עשויה להפחית ביעילות את הסימפטומים ולשפר את הנגעים. יש גם כמה דיווחים כי חולים עם ליצ 'ן Sclerosus עשוי להפיק תועלת ויטמינים A, C, אומגה 3 ו אבץ. דיאטה Paleo דיאטה נמוכה אוקסלט, דיאטה גלוטן חינם הם גם נראה מועיל. השילוב של כל הטיפולים המפורטים לעיל נמצא יעיל ביותר וכתוצאה מכך סיכוי גבוה של הפוגה או תרופה.

לפני

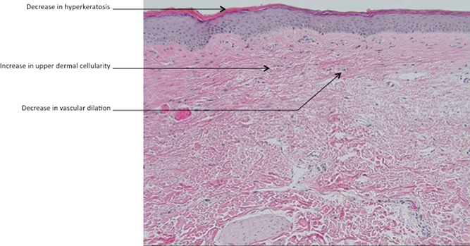
אחרי